Anterior cruciate ligament tear, meniscus tear and other procedures around knee
Some cases of Anterior cruciate ligament tear, meniscus tear and other procedures around knee treated by Papasotiriou Antonios, MD
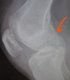
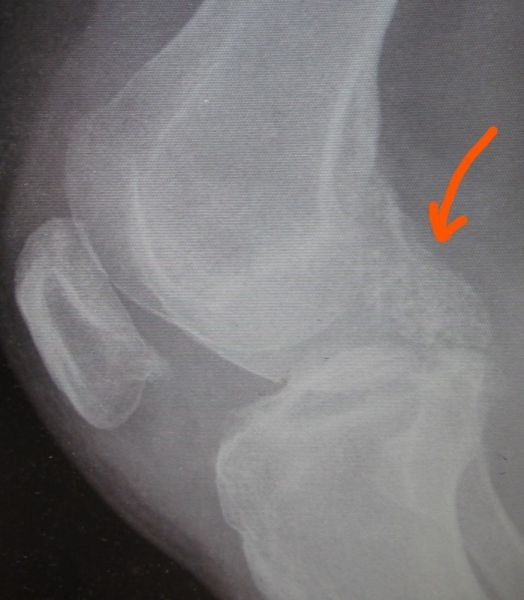
1. Popliteal extraskeletal chondroma of the right knee in a 38-year-old female.
Treatment: Surgical removal
I. Before the surgery , lateral x-ray of the knee shows the chondroma (red arrow) II. Post-surgery, lateral x-ray of the knee shows that the chondroma has been removed III. Post-surgery, the photo (posterior site of the knee) is showing the specific approach that has been used for the operation.
2. Heterotopic ossification on the medial side of the left knee in a 30-year-old man.
Treatment: Surgical removal
I. 3D reconstruction of the knee following CT scan, the heterotopic ossification is obvious following a head injury that happened two years down the line II. During procedure, the black arrow shows the heterotopic ossification III. Anteroposterior x-ray knee after the removal of the heterotopic ossification




