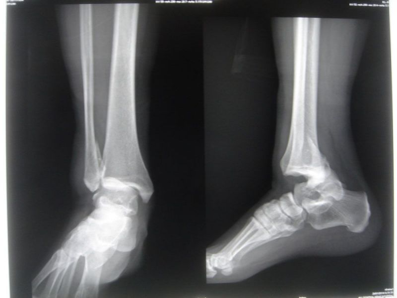
Malleolus fracture
Malleolus fracture is one of the most common fracture in the human body.
For this fracture we use several classifications like: Lauge-Hansen, Weber, AO. Malleolus fracture could be stable or not. The treatment of stable fracture, that can not be displaced under the influence of normal forces, could be conservative (cast, black walker boot).
About unstable fracture surgical management is the only option (O.R.I.F- Open Reduction Internal Fixation). In the surgical field a variety of implants could be used like plates, screws, K-w and cerclage wire.
Ankle fracture-dislocation- Open reduction internal fixation (A-P view in theater)




