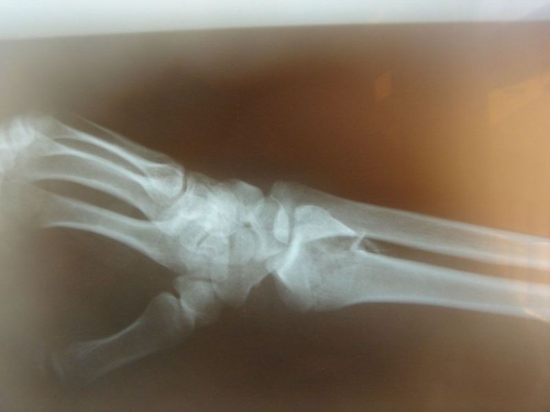
Distal radius fracture
Distal radius fracture usually occurs after a fall onto an outstretched hand (FOOSH)
Colle’s fracture seems to be one of the most common types of fracture in this area. It is described as a fracture to the distal radius with dorsal angulation.
Clinical examination
Its main clinical features are pain, deformity and swelling.
Management
Its treatment could be the closed reduction with the use of a cast. If the reduction is not satisfactory or there is a loss of reduction, surgical treatment has to take place.
Distal radius fracture-open reduction internal fixation (lateral view)






