Fractures’ complications
Some cases of Fractures’ complications treated by Papasotiriou Antonios, MD
1. Hypertrophic nonunion distal right femur with broken femoral antegrade nail in a 32-year-old male.
Treatment: Revision of femoral nail with the use of specific grafts as stem cells
I. 18 months down the line from his first operation of femur nailing II. The orthopaedic surgeon Antonios Papasotiriou is performing the delivery of bone marrow from the iliac crest which contains the stem cells III. Four months down the line from the revision nailing. Lateral x-ray of femur shows the process of union of the fracture and the patient can walk without pain
2. Atrophic nonunion 5th metatarsal (Jones fracture) of the left foot in a 25-year-old male.
Treatment: Percutaneous fixation with a screw and using specific grafts
I. Before surgery, anteroposterior x-ray of the foot II. Four months post-surgery with union of the fracture and patient is walking without pain.
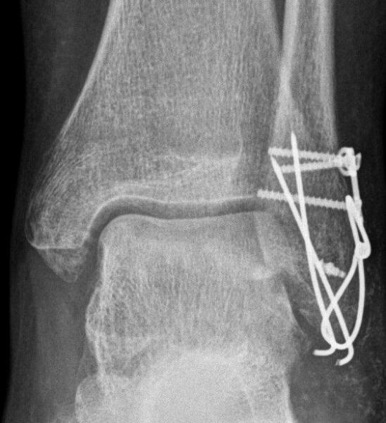
3. Nonunion distal tip of the left lateral malleolus in a 47-year-old female.
Treatment: Open reduction internal fixation with the use of specific grafts
I. Before surgery, anteroposterior view of the ankle II. Four months post-surgery, anteroposterior view of the ankle shows the metal work and the union of fracture
4. Metal work in lateral malleolus with the syndesmotic screw to be broken in a 30-year-old male.
Treatment: Removal all the implant work plus the syndesmotic screw with specific technique.
The lag screw did not remove I. Ten months down the line of the procedure, anteroposterior x-ray ankle shows the broken screw II. During the procedure a specific technique is using to remove the major part of the broken screw III. Anteroposterior view during the procedure is showing that the broken screw has been removed
5. Delayed diagnosis of a lateral malleolus fracture in a 21-year-old male
Treatment: Open reduction internal fixation 20 days after the injury
I. Before surgery, lateral x-ray of the left ankle shows the site of fracture (red arrow) II. Four months post-surgery, lateral x-ray of the ankle shows the implant work with the union of the fracture (red arrow)









